Your clinician will advise you on which type of retainer is best for you, but ultimately, it’s your decision. In most cases, patients are advised to opt for both a fixed and removable retainer.
Once a phase of orthodontic treatment has been completed to straighten teeth, there remains a lifelong risk of relapse (a tendency for teeth to return to their original position) due to a number of factors: recoil of periodontal fibres, pressure from surrounding soft tissues, the occlusion and patient’s continued growth and development.
By using retainers to hold the teeth in their new position, the surrounding periodontal fibres are allowed to adapt to changes in the bone, which can help minimise any changes to the final tooth position after the completion of orthodontic treatment.
Retainers can be removable or fixed. The four types of retainers typically prescribed by orthodontists and dentists are Hawley, Essix, Zendura, and Bonded (Fixed) retainers. A review of the evidence suggests that removable retainers are only required to be worn part-time (at night) and that, overall, there is still insufficient evidence to recommend one type of retention procedure over another.
We will discuss the different types of retainers available and advise you on which suits your case.

A retainer is not a one-size-fits-all device. Each one is custom-made to suit the patient wearing it. There are two common types of retainers and two primary materials used to make them.
Retainers are either fixed or removable and made from clear plastic or wires. Each option has its advantages and disadvantages.
Removable retainers are generally only worn at night or for a portion of the day. However, if not worn properly according to the orthodontist’s recommendation, the teeth may shift back into their original position.
A fixed retainer is secured to the teeth and won’t be removed until it is no longer needed. Using a fixed retainer eliminates the possibility of a patient forgetting to use their retainer, helping to maintain the progress they’ve made.
There is no conclusive evidence as to whether one type of retainer is better than the other, although there is evidence to support that both types are effective. Each patient’s unique needs will determine the type of retainer we recommend.
A removable retainer allows the device to be removed freely. Some patients like being able to use a retainer at home and remove it when in social situations. The retainer is still effective, provided it is used for the requisite number of hours per day.
When patients first start using a retainer, they may notice an excess of saliva. This is entirely normal, as the feeling of the retainer stimulates the salivary glands.
Users may also find it difficult to speak with the retainer at first, but this should become easier after the initial adjustment period. A removable retainer comes with a container to keep it clean and safe when it is not worn.
Vacuum formed
A vacuum-formed retainer (VFR) is made from a clear plastic material that is quick to make and cost-effective. The form is typically 0.2” to 0.3” thick, making it comfortable yet durable. The retainer is produced from a teeth mould and can be made to fit from canine to canine or over the entire arch, depending on the patient’s specific needs.

The clear material makes a VFR virtually invisible when worn. It is removed during eating and drinking so that particles can’t become trapped between the retainer and the teeth, which can lead to decalcification and enamel loss.
VFRs aren’t recommended for all patients. For individuals with disorders such as bruxism (clenching and grinding of the teeth), a VFR may deteriorate or break.
Hawley
A Hawley removable retainer is a metal wire that keeps the six anterior (frontal) teeth in place. The wire is anchored to an acrylic base plate that rests snugly against the roof of the mouth. The device is also anchored to the teeth using two loops that are slipped around the neighbouring molars.

The molar loops can be tightened at regular intervals throughout the treatment to make minor adjustments to the anterior teeth if necessary.
A Hawley retainer is strong, rigid and easy to make. A transparent wire option is also available. Another benefit of this model is that an orthodontist can bond prosthetic teeth to the retainer to replace any missing anterior teeth.
Two potential disadvantages of this model include speech interference and the risk of tooth fracture. There also tends to be poorer retention of the lower incisors when compared to vacuum-formed retainers.
Invisalign® Vivera
The Invisalign® Vivera retainer is popular because it is comfortable, durable and easy to use. The fit is guaranteed to be accurate because the form is based on an impression or scan of the teeth.

The material used to produce Vivera retainers is 30% stronger than the materials used by many other brands. This allows for a stronger hold on the teeth, keeping them in their proper position more efficiently. It also reduces the risk of breakage, increasing the product’s longevity.
Despite their durability, these retainers come in a set of three.
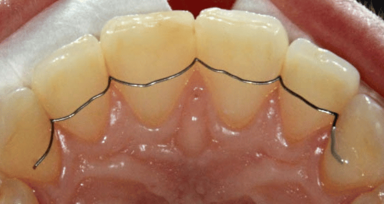
A fixed or bonded retainer works differently than a removable retainer in that it is bonded to your teeth for the duration of your treatment.
The benefit of a fixed retainer is that it works without relying on the patient remembering to use it. There is a greater chance of long-term retention for patients with fixed retainers than for those who incorrectly use a removable retainer.
There are four main types of fixed retainers. The first is a reinforced fibre retainer. This is generally not the first choice because the fibres tend to fracture. The second is the fixed canine-to-canine retainer. In this case, only the canine teeth are bonded, which means the incisors can relapse.
Because research has proven them to be highly effective, we prefer to utilise the standard fixed lingual retainer and the Memotain CAD/CAM digitally designed fixed lingual retainer.
Standard fixed lingual retainer

The standard fixed lingual retainer bonds to the canines and all the teeth in between. It is bonded to the teeth with either an acid-etch composite or composite resin to ensure it is secure. The device is crafted by hand before it is fitted and bonded.
Memotain®
CAD/CAM Digitally Designed Fixed Lingual Retainer — A Memotain lingual retainer is created digitally from Nitinol alloy using state-of-the-art CAD/CAM technology.

The digital process means the retainer’s micro-measurements will be more precise than a handcrafted alternative. This digital technology also enables technicians to create more intricate designs without bending the material during manufacture. This lowers the risk of weaknesses in the retainer, which can lead to breakage.
The fitting process for Memotain retainers is simple. The precise positioning on the lower and upper jaw provides long-term comfort and lowers the risk of biting the retainer. The result is a fixed retainer that is well-fitted, comfortable and strong.
Removable:
Fixed:
Your clinician will advise you on which type of retainer is best for you, but ultimately, it’s your decision. In most cases, patients are advised to opt for both a fixed and removable retainer.
In addition to lingual retainers, which are also referred to as fixed retention appliances or simply fixed retainers, removable appliances are also available as an alternative. Following the active treatment period, removable retainers are to be worn at all times – during the day and at night – in the first few months.
After around 3-6 months, the wearing time is reduced, and the retainers are to be worn only during the night. Removable retainers can stabilise the position of the teeth, as well as fixed retainers, but only if they are worn every night. Scientific studies show that, after a period of 5 years, only a very few patients wear their retainers.
Other authors insist that, upon completion of active treatment, every patient should be provided with a fixed retainer in order to ensure sufficient prevention against any undesired tooth movement.
Ensuring the long-term success and stability of the treatment results is vital to every orthodontic therapy. This is important as teeth have a tendency to return to their original position even after corrective orthodontic treatment. To prevent this from happening, it is essential to ensure that the teeth remain in their post-treatment position.
Remember: The longer retention devices are used for stabilising the dental arches, the lower the tendency of the teeth to move back to their original position.
There is no simple answer to this question. Generally, The retention phase should be approximately twice as long as the active treatment period. Thus, if a patient has worn fixed braces for a period of two years, then a retention device should be used for a period of four years to stabilise the treatment results.
The propensity for recurrence, however, varies depending on the different types of malocclusion and temporomandibular disorders. Owing to this, therefore, there is no hard-and-fast rule.
The trend in modern orthodontics is to focus on the so-called “life-long retention” principle, i.e. to aim at the life-long stabilisation of the treatment outcome. To ensure that the teeth remain stable in their corrected position for an entire lifetime, it is also necessary to ensure the life-long stabilisation of this position.
Life-long retention can also be beneficial, irrespective of the likelihood of an orthodontic relapse. Among many patients, we observe crowding in the anterior region, so-called “tertiary crowding” (also known as “late crowding”, “post-adolescent crowding”, or “late incisor crowding”) during the patient’s lifetime.
This occurs more frequently in the lower than in the upper jaw. This kind of crowding is so common that some researchers describe “tertiary crowding” as an “anatomical/physiological phenomenon”.
Unfortunately, not! Tooth movement can occur throughout one’s lifetime. In most cases, orthodontic relapse is almost unlikely after a sufficient retention period. Nonetheless, it is possible that teeth can move out of position again.
During their lifetime, humans are generally prone to crowding in the anterior tooth region (after the process of permanent dentition is completed). This initially occurs in the lower jaw but can also extend to the anterior region of the upper jaw. The technical term for this phenomenon is “tertiary crowding”.
Wearing a retention device prevents both an orthodontic relapse and undesired tooth movement.
Since the 1970s, orthodontists have been using nitinol (an alloy of nickel and titanium) for intra-oral treatment. Thanks to its outstanding biocompatibility and corrosion resistance, nitinol is the ideal material for meeting the highest demands in orthodontics.
Surface finish and coating are important factors that influence biocompatibility and corrosion resistance. They possess an extremely smooth surface and antibacterial properties.
The induction of an allergic reaction following the intra-oral application of nitinol can be virtually ruled out. Studies show that patients suffering from a “nickel allergy” did not display symptoms of an anaphylactic reaction following oral exposure to nitinol.
That is because the suspected “nickel allergy” is actually caused by an allergic response to nickel sulphide. Nickel sulphide can only originate if nickel reacts with sulphur.
This happens regularly when, for instance, the nickel in designer jewellery reacts with human sweat to form nickel sulphide. Fortunately, there are no sweat glands or other sources of sulphur in our oral cavity, and hence, there is no formation of nickel sulphide that can cause an allergic reaction.
Nitinol is thus a safe material, which makes it suitable for application in MEMOTAIN retainers. Nonetheless, there are isolated cases in the medical literature that report “nickel allergies” triggered by nickel in oral applications. Until now, there is no scientific explanation for these individual cases.
If you misplace or break your retainer, get in touch with the orthodontist or dentist who carried out your treatment as soon as you can. Otherwise, your teeth could start to move.
It’s probably a sign that your teeth are moving and you’re not wearing your retainer often enough. Wearing your retainer for longer and more frequently should resolve this problem.
Yes, we can organise a spare removable retainer to be made for your peace of mind. Invisalign Vivera retainers come in sets of 3, thus a good option to consider.
A fixed retainer should not affect your speech – they’re very unobtrusive. A removable retainer could give you a slight lisp, which will quickly disappear.
Yes, you’ll be able to clean in between your teeth using an interdental brush, superfloss or air floss. Your fixed retainer will only be attached to your front teeth, so you’ll be able to clean in between your back teeth using normal dental floss.